Mayfield Ranch Dental

Can Stress Affect Your Teeth? The Surprising Connection Explained

In our high-pressure modern lives—especially in bustling cities like Hyderabad where long work hours, traffic jams, and daily demands pile up—stress feels unavoidable. But did you know chronic stress can directly harm your teeth and gums? Yes, stress affects oral health more than most people realize, leading to issues like teeth grinding, dry mouth, gum disease, and even tooth damage over time.

Dental experts and recent studies show a clear link between psychological stress and deteriorating oral health. This article explores how stress impacts your teeth, the science behind it, who’s most at risk, and practical ways to protect your smile while managing stress. If you’re wondering “Can stress affect your teeth?”—the answer is a resounding yes. Let’s break it down.

How Stress Triggers Teeth Grinding (Bruxism)

One of the most common and destructive ways stress affects teeth is through bruxism—unconscious teeth grinding or jaw clenching. Stress activates the body’s fight-or-flight response, causing jaw muscles to tighten. Many people grind their teeth at night without realizing it, or clench during stressful days.

This repeated force wears down enamel, flattens tooth surfaces, chips edges, and increases sensitivity. Over months or years, it can crack teeth, damage fillings, or lead to costly repairs.

Symptoms often include:

  • Jaw pain or tightness in the morning
  • Frequent headaches or earaches
  • Worn, flat, or shortened teeth
  • Facial muscle fatigue

According to dental associations and clinics worldwide, stress and anxiety rank among the top causes of bruxism, affecting millions. In India, rising work-related stress has made this a growing concern among young professionals.

Dry Mouth: A Hidden Stress Side Effect

When stressed, your body reduces saliva production—a condition called xerostomia (dry mouth). Saliva is your mouth’s natural defense: it neutralizes acids, washes away food debris, and fights bacteria. Less saliva means higher risk of cavities, bad breath, and gum irritation.

Chronic dry mouth from ongoing stress creates a perfect environment for plaque buildup and decay. Cracked lips, sticky feeling, and difficulty swallowing often accompany it. Many people notice this during high-anxiety periods, like exams or deadlines.

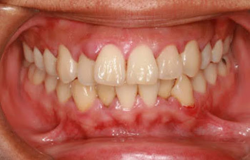
Gum Disease and Inflammation Linked to Stress

Chronic stress weakens your immune system and raises cortisol levels, making gums more vulnerable to bacterial infection. This contributes to gingivitis (red, swollen gums that bleed easily) and, if untreated, periodontitis—advanced gum disease that destroys supporting bone and can cause tooth loss.

Research shows stressed individuals have higher inflammation markers in the mouth. Poor sleep from stress compounds the issue, slowing healing and worsening recession.

In Hyderabad’s fast-paced environment, neglecting dental check-ups during stressful phases often lets minor gum issues escalate.

Other Ways Stress Damages Oral Health

Stress indirectly harms teeth through behavioral changes:

  • Skipping brushing or flossing when overwhelmed
  • Craving sugary or acidic comfort foods/drinks
  • Delaying dental visits
  • Smoking or increased alcohol use (common stress coping mechanisms)

These habits accelerate decay and stain teeth. Stress can also trigger recurrent mouth sores (canker sores) or worsen conditions like TMJ disorders.

How to Protect Your Teeth from Stress Damage

You can break the stress-teeth damage cycle with these steps:

Final Thoughts: Break the Stress-Teeth Cycle

Yes, stress can—and often does—affect your teeth through grinding, dry mouth, gum issues, and neglected care. The good news? Awareness and small habits make a big difference. Prioritize stress relief alongside brushing and flossing for a healthier smile and better overall well-being.

In Hyderabad’s demanding lifestyle, taking charge of stress isn’t a luxury—it’s essential for long-term oral health. Your teeth (and peace of mind) will thank you.

Share this :